Periodontitt
Periodontitt er en vanlig, men alvorlig tannkjøttsykdom som rammer både hunder og katter, og kan få store konsekvenser for dyrenes helse. Denne tilstanden oppstår når plakk og tannstein bygger seg opp på tennene, noe som fører til betennelse i tannkjøttet og vevet som støtter tennene. Uten riktig behandling kan periodontitt føre til tap av tenner og alvorligere helseproblemer, inkludert infeksjoner som kan spre seg til andre deler av kroppen. Tilstanden starter vanligvis med gingivitt, en mildere form for tannkjøttbetennelse karakterisert ved rødhet og hevelse i tannkjøttet. Hvis gingivitt ikke blir behandlet, kan den utvikle seg til periodontitt, som også påvirker kjevebenet og forårsaker betydelig ubehag for dyret. I denne artikkelen vil vi utforske hva periodontitt er, symptomene å se etter, årsaker, behandling og hvordan du kan forebygge denne tilstanden.
Symptomer på Periodontitt
Det er viktig for dyreeiere å være oppmerksomme på symptomene på periodontitt for å kunne handle tidlig. Noen vanlige tegn inkluderer:
- Blødning fra tannkjøttet: Hvis du merker blod når du pusser tennene til dyret ditt, er dette et tydelig tegn på betennelse.
- Dårlig ånde: Dårlig ånde hos dyret kan være en indikasjon på tannsykdom og oppbygging av bakterier.
- Plakk og tannstein: Hvis du ser at tennene har et gult belegg så er det plakk som dermed kan bli til tannstein. Ser du et brunt belegg så er det viktig å ta en tannrens så fort som mulig.
- Problemer med å spise: Hunder eller katter som har vondt i munnen kan vise motvilje mot å spise eller tygge.
- Rødhet og hevelse: Tannkjøttet kan se hovent og rødt ut, i motsetning til sunne, bleke rosa tannkjøtt.
- Slapphet: Dersom dyret virker mer slitent enn vanlig, kan det være et tegn på ubehag.

Når bør du oppsøke veterinær?
Det er avgjørende å ta kontakt med veterinæren umiddelbart hvis du observerer noen av symptomene nevnt ovenfor. Tidlig diagnose og behandling av periodontitt kan forhindre mer alvorlige helseproblemer, inkludert tannkjøttsykdommer og infeksjoner som kan spre seg til indre organer.
Be om vurdering fra en veterinær
Vanlige årsaker
Flere faktorer kan bidra til utviklingen av periodontitt:
- Bakteriell plakk: Plakk består av bakterier som bygger seg opp på tennene. Hvis plakken ikke fjernes regelmessig, kan den mineralisere til tannstein, som er mye vanskeligere å fjerne.
- Dårlig munnhygiene: Mangel på regelmessig tannpleie, som tannpuss og profesjonell rengjøring, kan føre til opphopning av plakk og tannstein.
- Genetiske faktorer: Enkelte hunderaser og katter er mer utsatt for tannsykdommer enn andre. Raser som små hunder med tett ansiktsstruktur har en høyere risiko for tannproblemer.
- Alder: Eldre dyr har ofte en høyere forekomst av periodontitt på grunn av lengre eksponering for faktorer som bidrar til sykdommen.
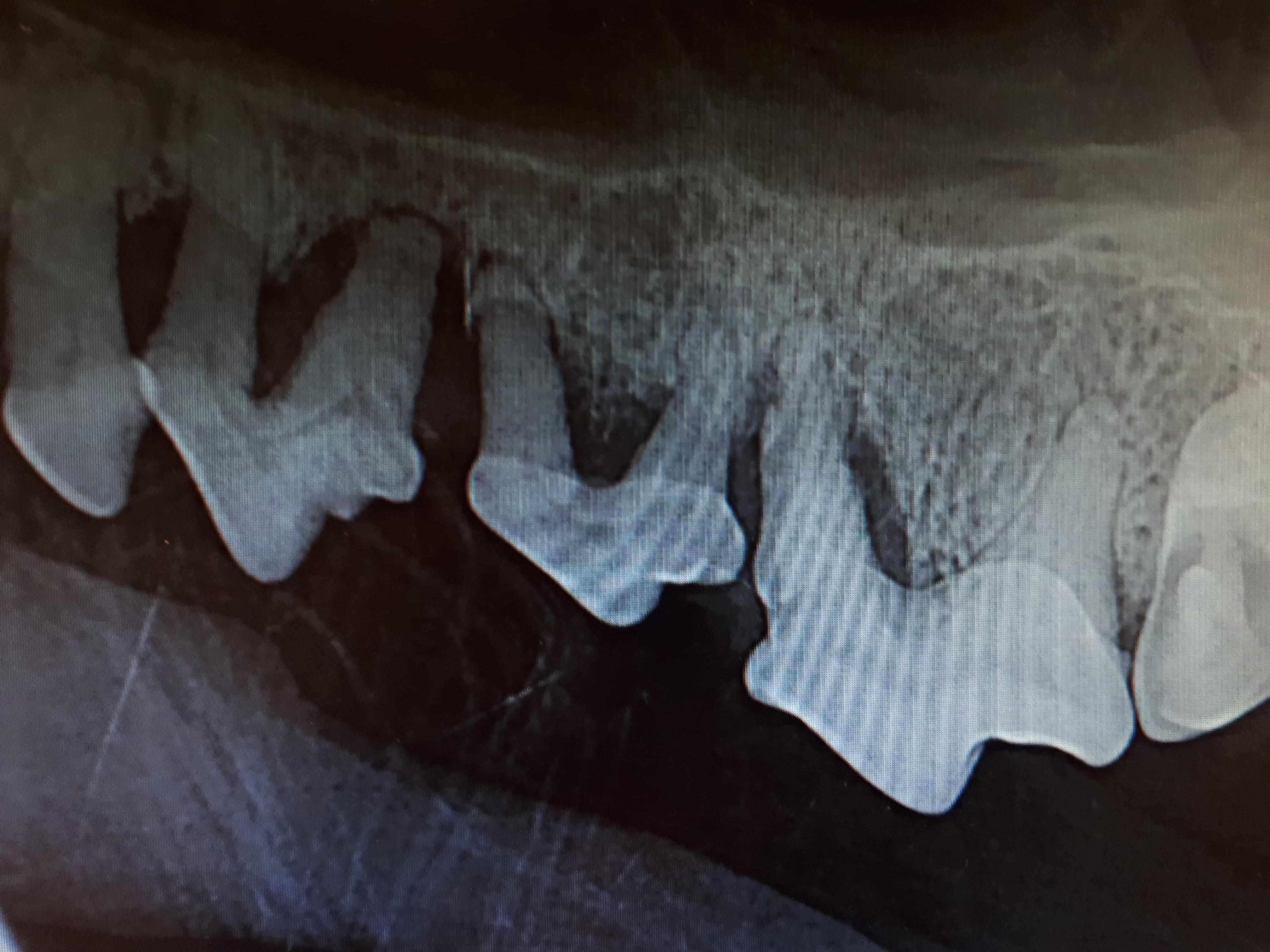
Diagnostisering
Diagnosen stilles vanligvis gjennom en grundig munnundersøkelse, som inkluderer kontroll av tannkjøtt, tenner og eventuelle infeksjoner. Røntgenbilder kan også tas for å vurdere tilstanden til kjevebenet og bekrefte hvor dypt infeksjonen har gått.

Behandling av Periodontitt
Behandling av periodontitt kan variere avhengig av alvorlighetsgraden:
- Tannrens: En profesjonell tannrensning hos veterinæren er ofte det første steget for å fjerne plakk og tannstein. Dette innebærer bruk av anestesi for å sikre at dyret ligger stille under prosedyren.
- Kirurgi/tanntrekk: I alvorlige tilfeller kan kirurgiske inngrep være nødvendige for å fjerne infisert vev eller tenner som ikke kan reddes. Veterinæren vil vurdere situasjonen og foreslå passende tiltak.
- Oppfølging: Regelmessige oppfølginger er essensielle for å overvåke helsen til hundens eller kattens munn og sikre at tilstanden ikke kommer tilbake.
Forebygging
Forebygging er nøkkelen til å opprettholde en sunn tannhelse hos kjæledyret ditt. Her er noen tips for å forebygge periodontitt:

- Regelmessig tannpleie: Puss tennene til hunden eller katten din regelmessig med tannkrem beregnet for dyr. Dette reduserer plakkoppbygging og forebygger tannstein.
- Tannrens hos veterinær eller dyrepleier: Planlegg profesjonell tannrens minst en gang i året, eller oftere hvis veterinæren anbefaler det. Dette vil bidra til å opprettholde tannhelsen.
- Tyggeleker og spesialprodukter: Tyggeleker, spesifikke godbiter eller spesialprodukter kan hjelpe til med å redusere plakk og tannstein.
- Overvåking av munnhygiene: Hold øye med munnhygienen til dyret ditt og vær oppmerksom på eventuelle endringer i atferd eller symptomer som kan indikere tannsykdom.
Prognose
Med tidlig diagnose og riktig behandling kan de fleste hunder og katter komme seg fra periodontitt og opprettholde god tannhelse. Det er avgjørende å agere raskt for å forhindre alvorlige komplikasjoner som kan oppstå fra denne tilstanden. Ved å investere tid i tannpleie og regelmessige veterinærbesøk, kan du bidra til et langt og sunt liv for kjæledyret ditt.