Dilatert kardiomyopati – DCM

Dilatert kardiomyopati (DCM) er en fellesbetegnelse for hjertesykdom som fører til at hjertet får nedsatt pumpefunksjon. DCM er genetisk nedarvet hos enkelte hunderaser som dobermann, Irsk ulvehund, grand danois og andre store raser. Andre årsaker til DCM er betennelse i hjertemuskelen (myokarditt), rytmeforstyrrelser (arytmi), feilernæring, eller som følge av annen systemisk sykdom.
Etter hvert som hjertefunksjonen svekkes, utvider hjertekamrene seg. Dette kan føre til klaffelekkasje og en hørbar bilyd på hjertet. Klaffelekkasjen bidrar til videre forstørring av hjertet og ytterligere svekket funksjon. Utvikling av venstresidig hjertesvikt og lungeødem er videre forløp av sykdommen. Noen hunder med DCM kan ha rytmeforstyrrelser som gir kliniske tegn som anfall/kollaps og i enkelte tilfeller plutselig død.
Det er veldig viktig med tidlig hjerteutredning ved mistanke om hjertesykdom, da hunder med DCM ikke viser tegn på sykdom før hjertefunksjonen er såpass svekket at hjertet ikke leverer nok oksygen til kroppen. Medisinsk behandling vil i de fleste tilfeller anbefales så snart vi stiller diagnosen DCM. Behandlingen er tabletter som gis to ganger daglig. Dette er medisiner som hjelper hjertekamrene å trekke seg sammen, og forsinker sykdomsutviklingen. Hunder som får hjertemedisiner står på disse livet ut, og det er sjelden man ser bivirkninger av denne typen tabletter. Hunder som får påvist rytmeforstyrrelser vil kunne ha behov for rytmeregulerende medisiner.
I de tilfellene der hunden utvikler lungeødem på grunn av DCM er dessverre prognosen dårlig på sikt.
Hunder med hjertesvikt har rask og anstrengt respirasjon. Disse får vanndrivende medisiner i tillegg til hjertemedisinen. Dette er også tabletter som hunden står på fast. Mange hunder trenger flere medisiner, og kardiologen legger en behandlingsplan etter undersøkelsen.
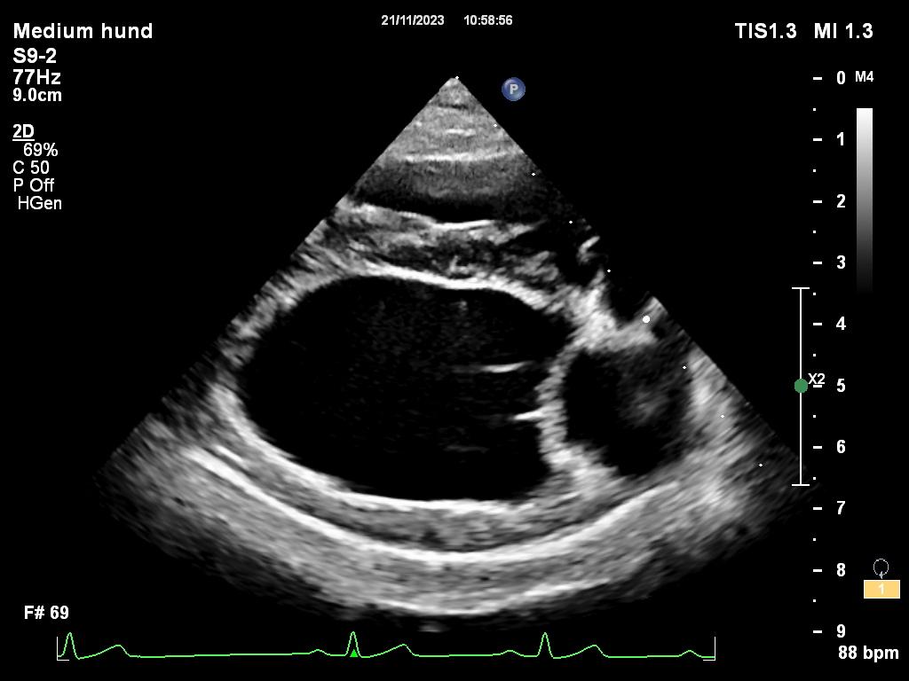
For å stille diagnose samt gradere sykdom utfører en kardiolog, en dyrlege som har spesialisert seg på hjertesykdommer, en ultralydundersøkelse av hjertet til hunden. Ved mistanke om hjertesvikt tar vi i tillegg røntgenbilder av brysthulen eller ultralyd av lungene for å se om det er væskeansamling i lungene. Er det mistanke om rytmeforstyrrelser, eller hunden kollapser, er det aktuelt med EKG undersøkelse.
For å oppdage hjertesvikt så tidlig som mulig anbefaler vi at hundeeier teller pustefrekvensen jevnlig når hunden sover: Sovende Respirasjons-Rate – SRR. Pustefrekvensen, SRR, skal være under 30 innpust per minutt i søvn. For å telle SRR kan man telle hvor mange ganger hunden tar et innpust ved å se på magen til hunden. Dersom SRR er jevnt over 30/minutt og pustemønsteret oppfattes som anstrengt vil vi anbefale å ta kontakt med dyrlege.
Hunder med DCM har fordel av en spesialdiett, og vi anbefaler å unngå mat med høyt innhold av salt samt mat basert på belgfrukter (erter, bønner, linser, såkalt grain-free fôr). Det er også viktig å følge med på tegn til endring i mosjonstoleranse. Dersom din hund har fått diagnose DCM anbefaler vi jevnlige kontroller hos kardiolog for å følge utviklingen slik at rett medisin kan settes inn på rett tidspunkt.



Sist oppdatert: 10. november 2025



