Klaffesykdom hos hund – MMVD


Degenerativ klaffesykdom, Myxomatous Mitral Valve Disease (MMVD), er den vanligste hjertesykdommen hos hund. Sykdommen rammer i hovedsak små hunderaser, men kan også utvikles hos store hunder.
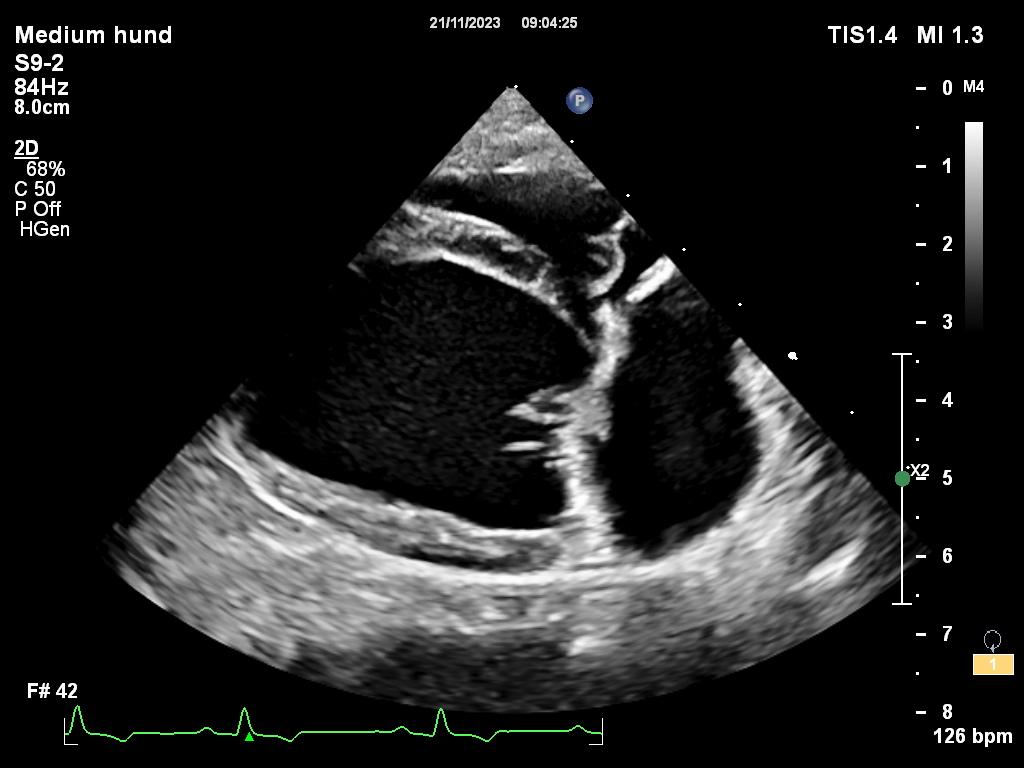
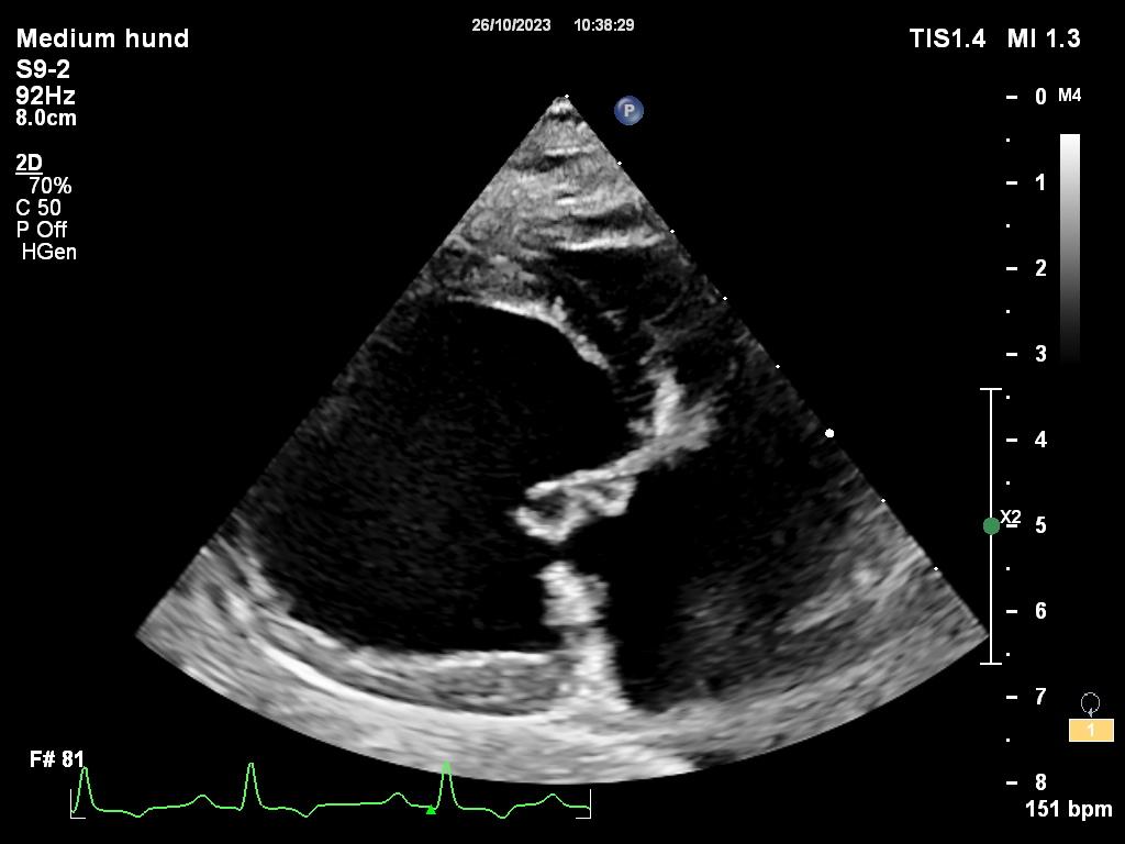
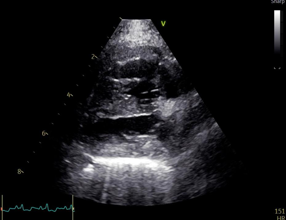
Sykdommen er genetisk betinget, oppstår i voksen alder og er oftest sett hos raser som Cavalier King Charles Spaniel, dachs og chihuahua. Klaffesykdom påvises oftest på mitralklaffen, som er klaffen som sitter mellom venstre forkammer og venstre hovedkammer. Hos hunder med MMVD vil mitralklaffen fortykkes slik at den ikke lukker seg helt igjen når blodet skal pumpes ut fra hovedkammeret gjennom aorta (hovedpulsåren). Dette fører til at noe av blodet strømmer tilbake til forkammeret og med tiden vil de venstre hjertekamrene forstørres. Disse hundene har en tydelig bilyd på hjertet og det anbefales en ultralydundersøkelse av hjertet for å avgjøre alvorlighetsgraden av sykdommen.
En ultralydundersøkelse av hjertet forteller om hunden din har utviklet forstørret forkammer og hovedkammer som følge av klaffesykdom. De hundene der hjertet har endret seg på grunn av klaffesykdommen har fordel av medisinsk behandling i form av tabletter som gis to ganger daglig. Dette er medisiner som hjelper hjertekamrene å trekke seg sammen. Medisinene forhindrer rask videreutvikling av sykdommen og senker risiko for utvikling av hjertesvikt. Hunder som får hjertemedisiner skal stå på disse livet ut, og det er sjelden man ser bivirkninger av denne typen tabletter.




Dersom klaffelekkasjen er spesielt stor, kan hunden utvikle hjertesvikt der den får væskeansamling i lungene, lungeødem. Hunder med væske i lungene grunnet hjertesvikt vil puste tungt og raskt, ha dårligere utholdenhet og kan virke rastløse på natten. Ved mistanke om hjertesvikt tar man røntgenbilder av brysthulen eller ultralyd av lungene for å se om det er tegn til lungeødem. Hunder som har bekreftet hjertesvikt får vanndrivende medisiner i tillegg til hjertemedisinen. Hunder som har utviklet hjertesvikt med vann i lungene lever vanligvis godt i opp til et år eller to så lenge de får riktig medisiner og oppfølgning. Enkelte hunder trenger flere medisiner etter hvert som sykdommen utvikler seg og kardiologen legger en behandlingsplan etter undersøkelsen. For å kunne oppdage hjertesvikt så tidlig som mulig anbefaler vi at hundeeier teller pustefrekvens jevnlig når hunden sover: Sovende-Respirasjons-Rate–SRR. Pustefrekvens, SRR, skal være under 30 inn-pust per minutt når hunden sover. Generelt er det å telle SRR det beste verktøyet hundeeier har for å utelukke hjertesvikt hos hund med MMVD.
Hunder med mild klaffesykdom, der man ser normal hjertestørrelse på ultralyd, har ikke behov for behandling. Det er viktig at medisinene ikke settes inn for tidlig i sykdomsprosessen da sykdommen i mange tilfeller utvikler seg langsomt over flere år. Dersom din hund har fått diagnose MMVD anbefaler vi årlige kontroller hos kardiolog for å følge utviklingen slik at rett medisin kan settes innpå rett tidspunkt.
Skrevet av

Liva Ihle Vatne
Veterinær, BVM&S CertVC (kardiologi), GPCertFelP (kattemedisin), Godkjent som screener av hjertesykdommer hos hund (NFVK) og katt (Pawpeds).Nydalen
HannaSofie Romstad
Veterinær, CSAVP-Cardiology (Sertifisert kardiolog), Godkjent som screener av hjertesykdommer hos hund (NFVK)Skedsmo
Sist oppdatert: 10. november 2025


